The Fast Track Clinic for Giant Cell Arteritis at Brigham and Women’s Hospital (BWH) offers rapid evaluation for patients with suspected giant cell arteritis.
Giant cell arteritis (GCA), also known as temporal arteritis, is the most common of the diseases referred to under the general term of “vasculitis”. Affecting only older adults, GCA often causes headache, fatigue, and evidence of inflammation, along with a wide array of other symptoms. If inflammation spreads to the blood supply of the eyes, sudden blindness can occur, which is why the early diagnosis and GCA and its prompt treatment are crucial.
The Fast Track Clinic for Giant Cell Arteritis features a multidisciplinary team of specialists with expertise in the diagnosis and treatment of giant cell arteritis. Our rheumatologists, vascular medicine specialists, vascular surgeons, and pathologists work together in the evaluation and care of patients with giant cell arteritis.

Co-Director, Division of Rheumatology

Co-Director; Division of Vascular Medicine
Because of the risk of permanent vision loss with giant cell arteritis, prompt diagnosis and treatment of the condition is essential. We provide patients with evaluation by our rheumatology team and vascular ultrasound of the temporal, carotid, axillary, and subclavian arteries. Referrals are reviewed by a rheumatologist within one business day of receipt and are triaged for acuity.
Patients are evaluated in our rheumatology clinic as quickly as possible, if the provided information is concerning for a new diagnosis of giant cell arteritis. The rheumatology evaluation is performed by an attending rheumatologist with expertise in GCA diagnosis and management, often with a rheumatology fellow. Please note that for patients living outside of Massachusetts, the scheduling process may take longer.
We also provide second opinions and offer transfer of care for patients with a prior diagnosis of giant cell arteritis. We are not able to provide medical advice to patients before their initial appointment in our GCA clinic. Patients with vision loss or other urgent symptoms should go to their local Emergency Department.
Temporal artery biopsy is recommended on a case-by-case basis depending on the rheumatologic evaluation and is performed by the Vascular Surgery team at Brigham and Women's Hospital. Please note that the GCA Fast Track program cannot order a temporal artery biopsy for patients that have not been evaluated in our clinic.
BWH is among the few hospitals in the nation to use noninvasive vascular ultrasound in the diagnosis of giant cell arteritis. Since 2013, more than 3,000 of these specialized ultrasound examinations have been performed by the BWH Vascular Medicine group. Temporal artery biopsy and/or radiology tests such as PET-CT scan may also be part of the diagnostic evaluation.

Actual performance of an ultrasound examination of the temporal artery.

Ultrasound view, along the length of a branch of the temporal artery. The blood flowing in the artery is colored; the dark area on both sides (see arrows) is caused by swelling the wall of the artery, due to giant cell arteritis.
We provide diagnosis, treatment, and if desired, close follow-up for patients diagnosed with giant cell arteritis. Our team also manages conditions that can coexist with giant cell arteritis, such as polymyalgia rheumatica.

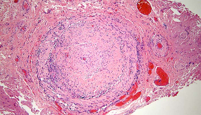
Magnified view of a cross section through the temporal artery obtained from a biopsy. The artery is completely clogged with inflammation due to giant cell arteritis.

Ultrasound view of the parietal branch of the temporal artery, seen on cross-section. The dark area surrounding the blood vessel is called the “halo sign”, and indicates swelling of the wall of the vessel due to giant cell arteritis.
Our rheumatology team sees patients at multiple locations throughout eastern Massachusetts, including:
To refer a patient to the BWH Fast Track Clinic for Giant Cell Arteritis, please call our dedicated line at (617) 732-9562 or email us at fasttrackgca@partners.org. Referrals must come from a clinician, along with recent labs and clinical note(s).
A rheumatologist reviews all referrals within one business day. If the provided information is concerning for a new diagnosis of giant cell arteritis, a rheumatologist on our team will evaluate the patient as quickly as possible. Please note that for patients living outside of Massachusetts, the scheduling process may take longer. We do not provide medical advice to patients before their initial appointment in our GCA clinic. Patients with vision loss or other urgent symptoms should go to their local Emergency Department.
For over a century, a leader in patient care, medical education and research, with expertise in virtually every specialty of medicine and surgery.
About BWH